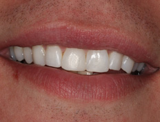
Before and After

Incredible results and inspiring journeys – see some of our patients' before and after photos next time you visit our practice.

  • before and after before and after
  • before and after before and after
  • before and after before and after
  • before and after before and after
  • before and after before and after
  • before and after before and after
  • before and after before and after
  • before and after before and after
  • before and after before and after
  • before and after before and after
  • before and after before and after